Ο Gus, το Γκόλντεν Ριτρίβερ υιοθετήθηκε όταν ήταν νεαρό κουτάβι από τη Sarah Millar, 40 ετών, και την κόρη της Mia, 16 ετών.
Πήγε στη κτηνιατρική εταιρεία Veterinary Specialists Scotland (VSS) όταν οι ειδικοί σε θέματα οφθαλμολογικών παθήσεων που τον είχαν εξετάσει είχαν απορήσει που τα μάτια του φαίνονταν απολύτως υγιή, ενώ δεν αντιλαμβανόταν σωστά το περιβάλλον του.
Η Alexandra Ferreira, νευρολόγος, παρείχε τη φροντίδα του στην κτηνιατρική κλινική όπου τον έφερε η Sarah από το Carlisle της Cumbria.
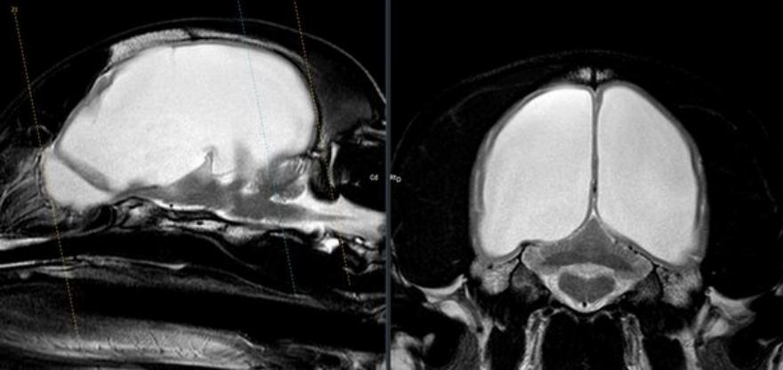
Η τύφλωση του Gus προκλήθηκε από πίεση που μεγάλωνε στο εσωτερικό του εγκεφάλου του, σύμφωνα με τα αποτελέσματα της ακτινογραφίας.
Η ίδια δήλωσε: “Ο Gus είναι ένας από τους πιο σημαντικούς ανθρώπους που έχω γνωρίσει ποτέ. “Ο Gus έκανε μαγνητική τομογραφία και αξονική τομογραφία και η Alexandra έμεινε έκπληκτη. Είπε ότι ήταν η μεγαλύτερη περίπτωση υδροκεφάλου (υγρό στον εγκέφαλο) που είχε δει ποτέ και είχε κατακλύσει και τις δύο πλευρές του εγκεφάλου του.
“Ήμουν σοκαρισμένη και δεν μπορούσα να φανταστώ τον πόνο που υπέφερε, αλλά η Alexandra είπε ότι υπήρχε τρόπος να αποστραγγιστεί το υγρό και να μειωθεί η πίεση στα μάτια και τον εγκέφαλο του Gus“.
Ο Gus υπέμεινε μια βασανιστική διαδικασία τριών μηνών
“Ο Gus έπρεπε να αποκτήσει μια παροχέτευση για να αποστραγγιστεί το υγρό από τον εγκέφαλό του στο στομάχι του, αλλά υπήρξαν μια σειρά από αναποδιές στην πορεία”, συνέχισε η Sarah.
“Πρώτα, αντέδρασε άσχημα στο αναισθητικό, στη συνέχεια χρειάστηκε να τοποθετηθεί μια δεύτερη παροχέτευση με έναν ελεγκτή που να ρυθμίζει τη ροή”.
Μετά την τελευταία επιτυχημένη επέμβαση, η οικογένεια μπόρεσε τελικά να φέρει το αγαπημένο της κατοικίδιο στο σπίτι τον Ιούνιο.
Η Sarah είπε: “Υπήρχαν πολλές φορές που ανησυχούσαμε να απαντήσουμε στο τηλέφωνο μήπως και ήταν άσχημα νέα, τα χειρότερα νέα.
“Αντ’ αυτού, ένα πρωί μας τηλεφώνησαν και μας είπαν ότι ο Gus είχε βγει από την καταστολή και είχε βγει και για μια μικρή βόλτα έξω.
“Λίγο αργότερα, η Alexandra είπε ότι μπορούσε να έρθει στο σπίτι, επειδή ένιωθε ότι θα βελτιωνόταν ακόμη περισσότερο με την οικογένειά του γύρω του.
“Ήταν μια υπέροχη στιγμή. Ο Gus είναι στην πραγματικότητα ο σκύλος της κόρης μου Mia και ήρθε σπίτι εγκαίρως για τα 16α γενέθλιά της.
Ήταν το καλύτερο δώρο γενεθλίων που είχε ποτέ
Ήταν ένα πραγματικά ευτυχές τέλος. Παρόλο που δεν έχει την όρασή του, είναι ένας υπέροχος σκύλος, ένας μοναδικός στο είδος του και οφείλουμε τα πάντα στην Alex και την VSS. Έβαλε την καρδιά και την ψυχή της για να του σώσει τη ζωή και δεν θα μπορούσαμε να είμαστε πιο ευγνώμονες”.
“Δεν έχουμε ακριβή τρόπο να μετράμε την ενδοκρανιακή πίεση στους σκύλους και η χειρουργική επέμβαση έπρεπε να επαναληφθεί χρησιμοποιώντας μια παροχέτευση υψηλής πίεσης για να βελτιωθεί ο έλεγχος”, σύμφωνα με την κτηνίατρο Alexandra , η οποία φρόντισε τον Gus στις εγκαταστάσεις που ανήκουν στη Linnaeus στο Λίβινγκστον της Σκωτίας.
“Όταν τοποθέτησα αυτή τη δεύτερη παροχέτευση, δεν ήθελα να προετοιμάσω και να τρυπήσω την άλλη πλευρά του κρανίου, καθώς φοβόμουν τις λοιμώξεις και τον περαιτέρω τραυματισμό, οπότε αποφάσισα να πάω στην ίδια πλευρά αλλά να επανατοποθετήσω την παροχέτευση.
“Ο Gus ανταποκρίνεται πολύ καλύτερα και είναι πιο δραστήριος στο σπίτι και χαίρομαι γι’ αυτόν, τη Sarah και την οικογένειά του”.
Όλες οι Ειδήσεις
- Βοηθήστε να βρεθεί η Μπούκι!
- Γιορτή Υιοθεσίας Γάτας στο Δημοτικό Κτηνιατρείο Αθηνών – Μια Μέρα Αγάπης και Νέων Αρχών
- Η Φιλοσοφία στην Πράξη: Ένα Μάθημα Καρδιάς από τη Φιλοσοφική Ομάδα ‘Νέα Ακρόπολη’ στο Καταφύγιο Σωκράτης
- Βρήκατε αδέσποτα κουτάβια; Δείτε πώς μπορείτε να τα βοηθήσετε.






























